We understand that orthodontics gives you more than just a straighter smile – our goal is to empower long term confidence and self esteem.
We go beyond the cosmetic, taking the time to get to know you and develop tailored treatments using the latest orthodontic techniques and technologies. You will be so happy with your results that you can’t help but naturally smile.
So, whatever your concerns about your smile, Specialist Orthodontist, Dr Goodyear and her highly trained and caring team can provide the best orthodontic care possible.
We want every patient to smile out loud.
We offer correction of conditions such as unbalanced facial profiles or miscorrelation of upper and lower jaws for both children and adults.
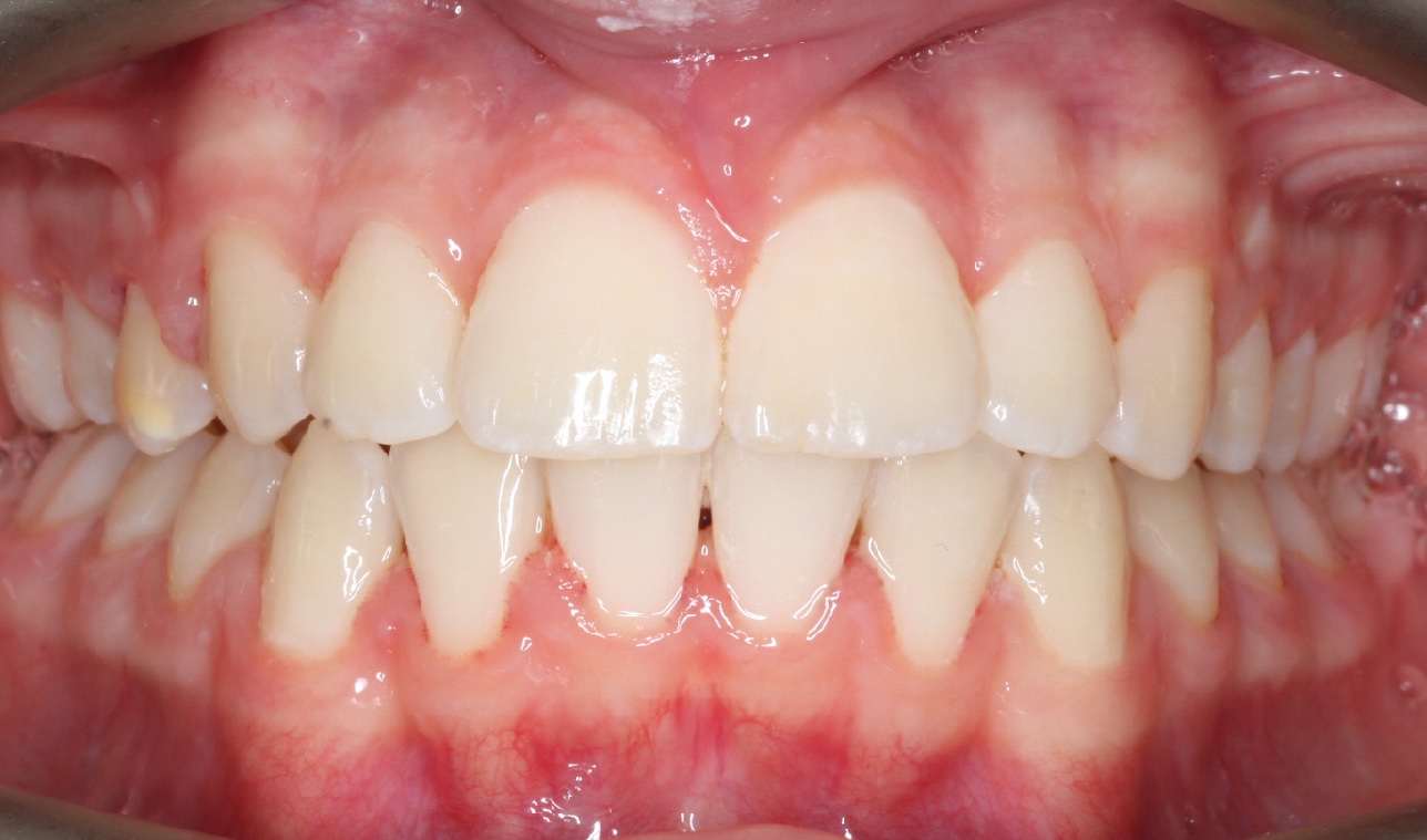
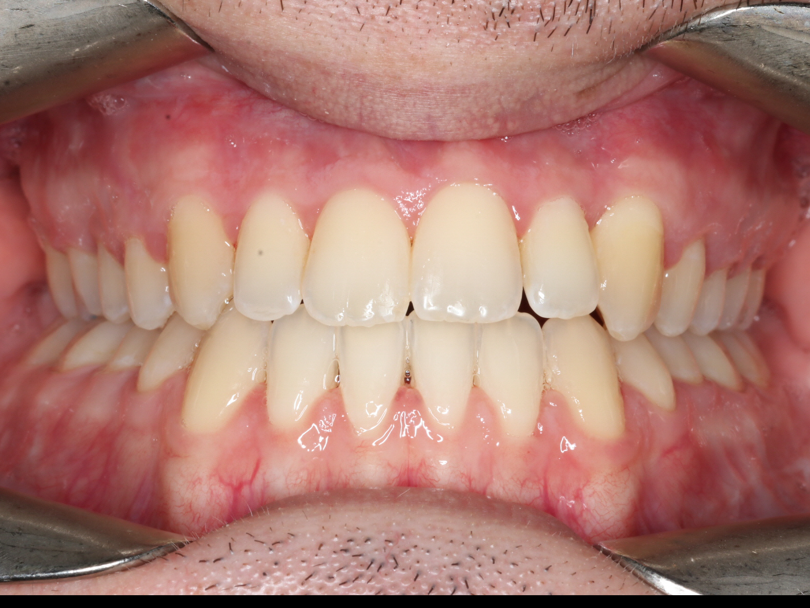
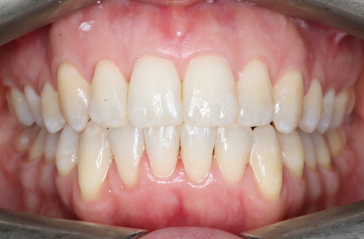
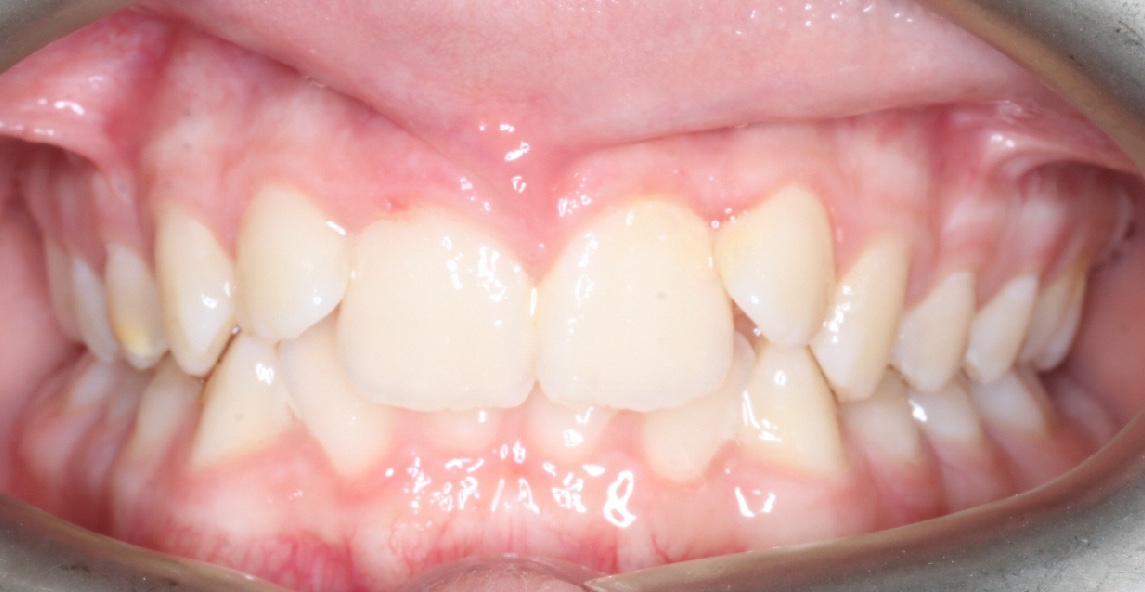
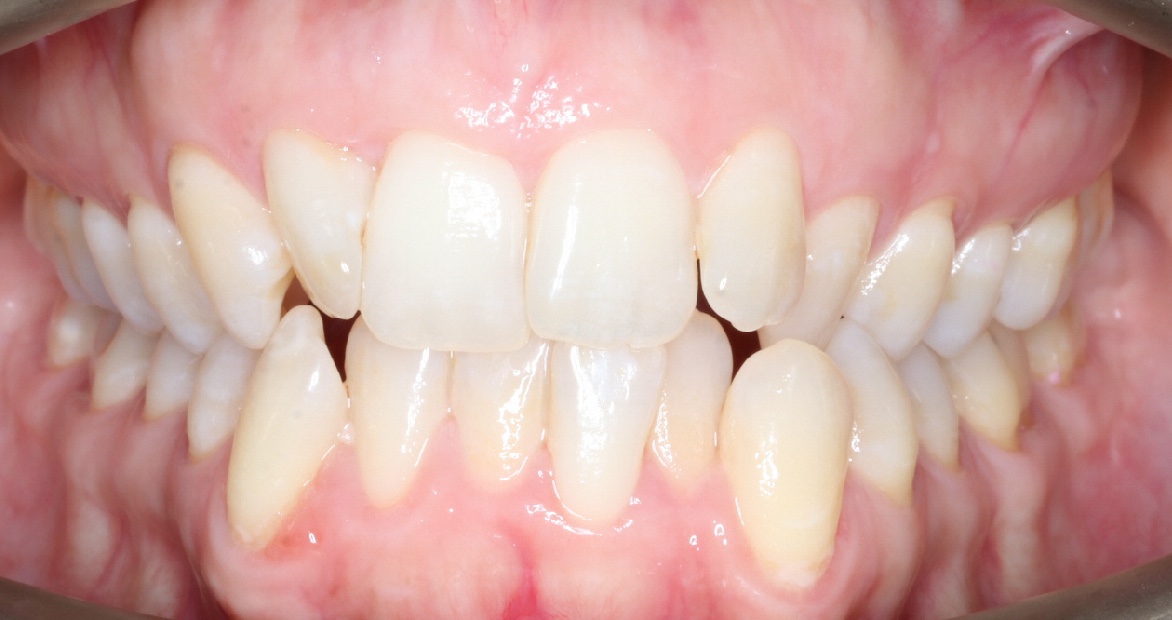
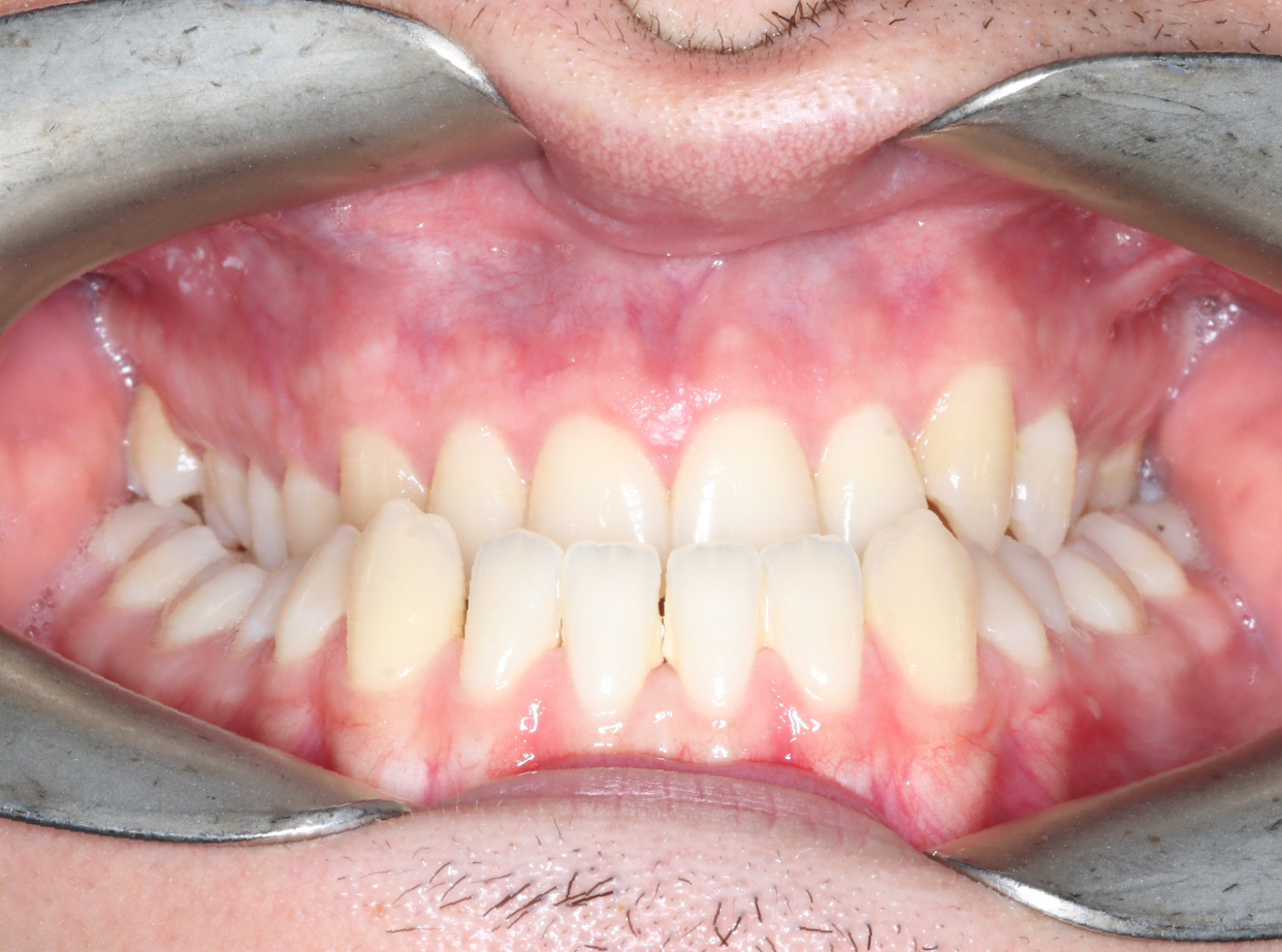
We successfully treat overly crowded teeth, gaps between teeth, over or underbites, crossbites, and openbites to transform your smile.
We can guide you through the options, from in-clinic to at home whitening and advise the best treatment to suit your needs.
Our accredited high-tech practice is at the cutting edge of orthodontic development, operating to the highest of industry standards. We’re centrally located near Toowong Village for easy access and our warm and friendly environment makes every visit easy and enjoyable.
We look forward to welcoming you!
Head over to Google to read what
our clients had to say.




